R.O.G Injerto con ß Fosfato Tricálcico
AVULSIÓN CON LEVANTAMIENTO ATRAUMÁTICO DE SENO MAXILAR
El paciente presenta una pérdida ósea vertical a distal del 1.5 con gran movilidad (grado 3).
Se planifica la extracción dentaria del 1.5, la reposición de dicha pieza se resolverá mediante la instalación de un implante.
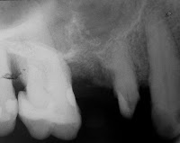
En una Rx apical se puede apreciar la estrecha vinculación del seno maxilar con la pieza en cuestión. De acuerdo a lo observado radiográficamente no es posible implantar en forma inmediata a la extracción, debido a la poca longitud encontrada en el sitio de la pieza dentaria, con motivo de la cercanía del seno maxilar.

Se lleva a cabo la extracción de la pieza 1.5 y se realiza en el mismo acto la elevación atraumática del seno maxilar utilizando la técnica de Summer modificada. Se expande la mucosa sinusal ayudandonos con los osteótomos de Summer y utilizando como material de injerto Bone Ceramic ® de la compañía Straumann. Una vez finalizado dicho procedimiento, se confecciona un provisorio anclado en 1.4 y reponiendo en forma volada el 1.5, tal como muestra la figura.
En la Rx apical de control se observa el aumento de longitud en altura logrado con el material de injerto a nivel del alvéolo remanente.
Se muestra con color el incremento en altura del reborde maxilar, delimitanto así el lugar preciso en donde deberá ser colocado el futuro implante.
El paciente presenta una pérdida ósea vertical a distal del 1.5 con gran movilidad (grado 3).
Se planifica la extracción dentaria del 1.5, la reposición de dicha pieza se resolverá mediante la instalación de un implante.
En una Rx apical se puede apreciar la estrecha vinculación del seno maxilar con la pieza en cuestión. De acuerdo a lo observado radiográficamente no es posible implantar en forma inmediata a la extracción, debido a la poca longitud encontrada en el sitio de la pieza dentaria, con motivo de la cercanía del seno maxilar.

Se lleva a cabo la extracción de la pieza 1.5 y se realiza en el mismo acto la elevación atraumática del seno maxilar utilizando la técnica de Summer modificada. Se expande la mucosa sinusal ayudandonos con los osteótomos de Summer y utilizando como material de injerto Bone Ceramic ® de la compañía Straumann. Una vez finalizado dicho procedimiento, se confecciona un provisorio anclado en 1.4 y reponiendo en forma volada el 1.5, tal como muestra la figura.
En la Rx apical de control se observa el aumento de longitud en altura logrado con el material de injerto a nivel del alvéolo remanente.
Se muestra con color el incremento en altura del reborde maxilar, delimitanto así el lugar preciso en donde deberá ser colocado el futuro implante.



