Dr. Gerardo Sagastume
viernes, 3 de diciembre de 2010
lunes, 16 de agosto de 2010
Extracción de pieza anterior con R.O.G
Se trata de un paciente de sexo masculino que concurre a la consulta derivado por otro colega, con el incisivo central fracturado (pieza 1.1), la cual ya habia tenido varios tratamientos previos.
Antecedentes Médicos: no habían datos de interés a consignar
Antecedentes Odontológicos: Bruxismo, el cual está siendo tratado. La pieza 1.1 presentaba una restauración coronaria total que se descementaba con frecuencia, producto de la fractura.
PLAN DE TRATAMIENTO
Se planifica la extracción atraumática de la pieza fracturada y la colocación de un injerto en virtud de la pérdida ósea prevista en la tabla vestibular.
Se consideran en lo previo 2 zonas dadoras para la toma de inferto
Zona 1 = sínfisis mentoniana
Zona 2 = rama ascendente mandibular
Se optó por utilizar la Zona 1 como dadora por su fácil acceso y su naturaleza córtico esponjosa, se tomó especial precaución con el canino inferior retenido (3.3) en función del volumen de la toma del injerto que se necesitaba, tomando en cuenta que el mismo iría a sufrir cierto grado de reabsorción una vez cicatrizado.
En las radiografías se denota la reabsorción ósea en la zona de la pieza a extraer.
Se confeccionaron previamente 2 tipos de provisorios previo a la cirugía, uno removible (para utilizar en forma inmediata a la intervención) y otro fijo (que sería utilizado una vez concluyera el período de cicatrización inicial, de forma tal de satisfacer las necesidades estéticas del paciente en un sector tan relevante como es el sector antero superior.
TRATAMIENTO
Se realizó primero la extraccion de la pieza 1.1 realizando un colgajo que respetara los principios básicos, pero que a la vez fuera lo mas "ahorrativo" posible pensando en la vascularización futura.
Se eliminó cuidadosamente todo el abundante tejido de granulacion presente y se dejo reposar la zona receptora.
Pasamos a la zona dadora, donde realizamos el colgajo por debajo de margenes gingivales logrando buena accesibilidad. La osteotomia se realizó 5 mm , aproximadamente, por debajo de los ápices dentarios y seguidamente se rellena el defecto creado con hueso bovino liofilizado (Bio -Oss ®).
Colocación del injerto en la zona receptora
Previamente a la instalación del injerto se realizaron perforaciones sobre el tejido óseo, seguidamente se colocó Bio-Oss ® sobre el lecho receptor, luego se procedió a fijar el injerto con el tornillo para posteriormente rellenar y cubrir todo con una nueva capa de Bio-Oss ®.
En esta instancia se procede a redondear las aristas punzantes del injerto para luego colocar la membrana reabsorbible.
Medicacion previa :
- Antibioterapai: Amoxicilina- ac clavulanico
- Antiinflamatorio: ketoprofeno.
El paciente concurre a los dos dias encontrandose con un postoperatorio bastante tranquilo y sin mayores complicaciones
Publicado por Dr. Gerardo Sagastume 0 comentarios
domingo, 18 de julio de 2010
Rehabilitación integral Caso B.S.
Paciente = B.S.
Sexo Femenino
Edad = 45 años
Antecedentes Médicos = s/p
Antecedentes Odontológicos = Múltiples rehabilitaciones tanto en maxilar superior como en inferior. Mordida cubierta en sector anterior del maxilar superior. Prótesis Fija inferior derecha ceramo metálica y Prótesis Fija superior izquierda también metalo cerámica, ambas de 4 piezas.
Rehabilitación coronaria individual ceramo metálica en pieza 2.1.
Historia de la Enfermedad Actual = Descementado de Protesis Fija superior izquierda que abarca desde la pieza 2.2 a 2.6. El pilar posterior de dicha Prótesis Fija o sea la Pieza 2.6 se presenta con avanzada caries radicular y sintomas dolorosos a la percusión, lo cual genera la imposibilidad de cargar dicha pieza tal cual surge de la anamnésis.
Estudio de Modelos:
Se realizaron impresiones de ambas arcadas y montaje en articulador. Se determinó el C.P.I como forma de diagnosticar disfunción de ATM y oclusales.
Fotografías de boca: Vista oclusal de ambas arcadas. Vista sagital del sector anterior.
Exámenes Complementarios:
O.P.T
Radiografías apicales de la brecha y pilar 2.6
- PRESENTACIÓN DEL CASO
Radiografías:


Los modelos de trabajo se montaron en un Articulador AD2 parcialmente ajustable utilizando el Arco Facial que se provee con el mismo.
Para su montaje se utilizó registro en Relación Céntrica por el método manual utilizando cera Delar ® . Para la toma del registro manual de Oclusión Máxima, se utilizó cera Moyko ®


El sistema AD2 consta de 2 Articuladores parcialmente ajustables con trayectorias promedio. En el Articulador 1 se realiza el montaje del registro en céntrica, en el Articulador 2 se realiza el montaje en oclusión máxima para corroborar el C.P.I (Indicador de la Posición Condilar)
Para la obtención del C.P.I se utiliza el segundo articulador y una plantilla autoadhesiva tanto para la medida de posicionamiento del cóndilo derecho como el izquierdo, y también en la parte posterior la desviación mandibular en relación al planto sagital.

Las medidas de posicionamiento para ambos cóndilos fueron de:
Lado derecho = - 2mm
Lado izquierdo = - 1mm


C.P.I promedio = - 1,5mm
El resultado obtenido no amerita un tratamiento previo de reposicionamiento mandibular para llevar a cabo la rehabilitación en esta paciente.
- PLAN DE TRATAMIENTO
Levante de mordida con resinas en sector antero superior de 2mm
Endodoncia en 1.4
Remoción de restauraciones y Confecciòn de provisorios en 1.4, 1.5, 1.6, 1.7
Confección de provisorios del 2.2 al 2.6
Colocación de 2 implantes a nivel 2.3 y 2.4
Colocación de microimplante inferior
Ortodoncia inferior, anomalía simple
2a. etapa:
Extracción de piezas 2.6 y 2.8
Colocación de implante superior en posición de 2.6
Colocación de 2 implantes inferiores derechos
Colocación de 1 implante inferior izquierdo
3a. etapa:
Rehabilitaciones coronarias totales en Cerámica sobre metal para el sector posterior
Rehabilitaciones coronarias totales en In Ceram para el sector anterior
Publicado por Dr. Gerardo Sagastume 0 comentarios
Etiquetas: A Resolver
viernes, 4 de junio de 2010
Caso de Microimplantes
En estos últimos años se ha desarrollado el empleo de Microimplantes para anclar la aparatología ortodóncica en el maxilar y evitar así el tradicional anclaje dentario.
INDICACIONES
Las indicaciones más frecuentes son:
- Intrusión de molares
- Enderezamiento de molares desplazando la corona a distal o enderezamiento de molares desplazando la raíz a mesial
- Tratamiento de la mordida abierta anterior con intrusión de molares (con o sin extracciones)
- Tratamiento de la mordida profunda anterior con intrusión de molares (con o sin extracciones)
- Nivelación de la inclinación transversal del plano oclusal
- Casos con extracciones
- Distalaciones o anclaje después de la distalación con otros aparatos como el péndulo
- Erupción forzada de dientes incluidos o no incluidos
- Expansión asimétrica
- Movimiento en masa de dientes o grupo de dientes
- Como fijación quirúrgica con brackets linguales
- Anclaje absoluto en ortodoncia lingual
- Se pueden usar en pacientes en crecimiento
- Cierre de espacios edéntulos
- Enfermedades sistémicas como diabetes, osteoporosis, osteomielitis, discrasias sanguíneas, alteraciones metabólicas especialmente óseas, etc.
- Paciente bajo tratamiento de radioterapia en los maxilares
- Alteraciones psicológicas
- Presencia de infecciones orales activas
- Enfermedad periodontal no controlada
- Presencia de formaciones patológicas en la zona de tumores o quistes
- Espacio insuficiente para la colocación del microimplante
- Cortical delgada y retención insuficiente
- Calidad deficiente de hueso
- Lesiones de tejidos blandos como liquen plano, leucoplasia, etc.
- Paciente que no acepte los microimplantes
- Abuso de tabaco, alcohol y drogas
- Respirador bucal
- Falta de habilidad para mantener una correcta higiene bucal
A continuación se presenta un caso de anclaje en maxilar superior a través de Microimplantes, los mismos se ubicaron con la finalidad de distalar para luego intruir las piezas en cuestión.
Previo a la instalación de los microimplantes se realiza un estudio clínico y radiográfico de la zona en donde se van a instalar los mismos.
Se ubican en la zona preferencial a distal del segundo premolar y a mesial de la raíz mesial del primer molar.
En este caso se utilizó el microimplante de Dentos - Abs Anchor ®, el cual viene con un Kit de fresas y un juego de porta microimplante (corto y largo), tal como se muestra en la siguiente imágen.
Se comienza por efectuar una anestesia de aplicación puntual y no más de 0,5 ml en la zona de la implantación a los efectos de no perder la sensibilidad dentaria que nos va a indicar si el microimplante está en contacto con la superficie radicular o no.
Se comienza marcando la zona a tallar, se realiza una pequeña incisión vertical en la mucosa vestibular hasta hacer contacto óseo.
Se procede al fresado utilizando la fresa que corresponde al diámetro y longitud del microimplante. Una vez fresado el maxilar, se selecciona el microimplante y se lo fija al maxilar con un "driver". Los driver pueden ser de 2 tipos cortos y largos. En este caso utilizamos el driver largo que nos da un mejor manejo y control en la inserción del microimplante.
Publicado por Dr. Gerardo Sagastume 0 comentarios
Etiquetas: Microimplantes
lunes, 31 de mayo de 2010
Implantes Provisorios
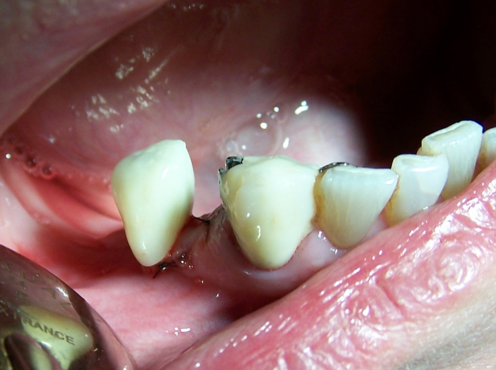
Hay veces en que nos vemos en la necesidad de dar una solución temporaria mientras transcurre el período de resolución de nuestro tratamiento. Tal es el caso que presentamos en donde nos encontramos con una paciente de sexo femenino de 65 años de edad, la cual es portadora de una PPR con ataches de semi precisión.
Los incisivos centrales inferiores perdieron su contención del punto de contacto, con lo cual comenzaron a movilizarse y apiñarse entre sí.
El plan de tratamiento comprende la alineación de las piezas inferiores por medios ortodóncicos, con lo cual el uso de la PPR inferior queda descartado, por lo cual debemos darle una solución estética transitoria al sector de premolares inferiores.
Los implantes utilizados son de la compañía B & W ® para lo cual es necesaria la utilización de una llave especial que sirve para roscar el implante.

Una vez instalados los implantes sobre la porción oclusal en forma de esfera se adapta una cazoleta con un broche de teflón que va incluído en la parte interna del provisorio.
Las piezas provisorias ancladas en los implantes transitorios se encuentran separadas de los pilares contiguos a la brecha a los efectos de poder distalar las piezas anteriores y alinearlas sin que se genere ninguan interferencia, tal como se muestra en las fotografías siguientes.
Una vez concluído el tratamiento ortodóncico, si los implantes transitorios se mantienen con buena integración, podrán dejarse como retención adicional a la PPR inferior.
Publicado por Dr. Gerardo Sagastume 0 comentarios
Etiquetas: Implantes
CURSO DE IMPLANTES 2011
Una opción de aprendizaje personalizado con especial énfasis en los lineamientos clínicos.
INSCRÍBASE - Cupos Limitados
Telefax: 42 668966
e: info@aldentista.com
gersagas@gmail.com
Por más detalles ver "EVENTOS"
CURSOS
Casos Clínicos
Casos a Resolver
Etiquetas
- A Resolver (2)
- Carga Inmediata (1)
- Curso (1)
- Implantes (7)
- Injertos (9)
- Microimplantes (1)
- ROG (3)
- Sobredentaduras (1)
Archivos
Info Personal
- Dr. Gerardo Sagastume
- Egresado de la Facultad de Odontología de la UDELAR. Socio de la Asociación Odontológica Uruguaya. Socio Fundador de las siguientes instituciones: FODI: Federación Odontológica del Interior. CAOMA:Cooperativa Asistencial Odontológica de Maldonado. CODEMA:Centro Odontológico Departamental de Maldonado. Miembro del Servicio de Prótesis Buco Maxilo Facial de la Facultad de Odontología de la UDELAR. Fellow del International College of Dentist. Fellow ITI
- A.D.A - American Dental Association
- ALACIBU - Asociación Latinoamericana de Cirugía y Traumatología Buco Maxilo Facial
- ALAO - Asociación Lationamericana de Oseointegración
- A.O.U - Asociación Odontológica Uruguaya
- Bone Interface Group
- CJPPU
- C.O.F.I
- Facultad de Odontología UDELAR
- Facultad de Odontología UCU
- F.D.I - World Dental Federation
- F.O.L.A - Federación Odontológica Latinoamericana
- Guia del Odontólogo
- I.C.D - International College of Dentists
- I.T.I - International Team for Implantology
- S.P.B.M.F - Servicio de Prótesis Buco Maxilo Facial UDELAR











